GYDYTOJA ODONTOLOGĖ
Jolita Ruginienė
Estetinės ir funkcinės odontologijos ekspertė
Protezavimas keramikinėmis laminatėmis
Minimaliai invazyvus estetinis plombavimas
Sudėtingos pilnos burnos rekonstrukcijos
Išsilavinimas
2007 m. Kauno medicinos universitetas, odontologijos magistratūra
2002 m. Vilniaus universitetas, chemijos fakultetas
Pasiekimai ir įvertinimai
2025 m. Odontologijos profesionalų išrinkta geriausio protezavimo atvejo I vietos laimėtoja
2023 m. Odontologijos profesionalų išrinkta geriausio protezavimo atvejo I vietos laimėtoja
2022 m. Odontologijos profesionalų išrinkta geriausio protezavimo atvejo II vietos laimėtoja
2016 m. Estetinio plombavimo konkurso „Estetiko“ II vietos laimėtoja
2 500
nuostabių šypsenų
18
metų patirties
Estetika, paremta meistriškumu
Estetinės ir funkcinės odontologijos ekspertė
Gyd. odontologė Jolita Ruginienė – tai vardas, kurį rekomenduoja tie, kurie jau atrado savo šypsenos estetiką. Nuo pat profesinės karjeros pradžios ji specializuojasi estetinėje ir funkcinėje odontologijoje, padėdama pacientams atgauti pasitikėjimą savimi per šypseną.
Per 18 metų praktikos gyd. Jolita Ruginienė nuolat gilino žinias tarptautiniuose mokymuose ir konferencijose, lankydama pasaulinio lygio odontologijos meistrų kursus. Šiandien ji pati veda profesinius mokymus ir dalijasi savo patirtimi su kolegomis – ypač šypsenos estetikos srityje.
Gydytojos darbo braižas – tai kruopštumas, išskirtinis estetinis pojūtis ir meistriškumas, kuriuo grįstas kiekvienas gydymo etapas. Jolita tiki, kad tikslumas, pagarba natūraliai dantų anatomijai ir individualus požiūris leidžia pasiekti ne tik estetiškai, bet ir funkciškai nepriekaištingą rezultatą.
Laimingos
šypsenos
Kai žmogus vėl nusišypso be baimės – tai daugiau nei gydymas. Tai sugrįžęs džiaugsmas, pasitikėjimas savimi ir gyvenimo kokybė. Per kelis dešimtmečius praktikos gyd. Jolita Ruginienė padėjo tūkstančiams pacientų atrasti tai iš naujo.
Teikiamos paslaugos
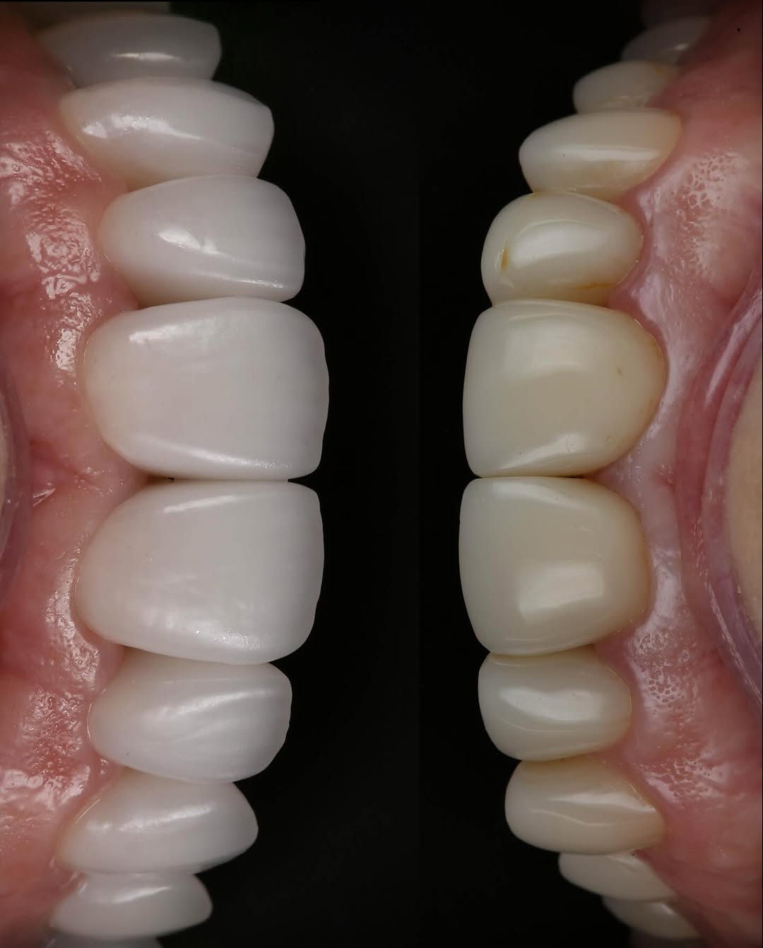
Stiklo keramikos laminatės
Estetinis šypsenos atnaujinimas naudojant itin plonas, individualiai gaminamas keramikines plokšteles. Šis sprendimas leidžia subtiliai koreguoti dantų formą, spalvą, ilgį, tarpus – pasiekiant natūralų ir ilgalaikį efektą.
Estetinis plombavimas
Minimaliai invazyvus dantų formos, spalvos ar net smulkių pažeidimų koregavimas estetinėmis plombinėmis medžiagomis. Metodas tinka, kai reikalingas greitas ir natūralus rezultatas, o pažeidimai nėra dideli.
Pilnos burnos rekonstrukcijos
Kompleksinis gydymas pacientams, turintiems daug pažeistų, nusidėvėjusių ar prarastų dantų. Naudojant įvairius restauracijos metodus (laminatės, vainikėliai, tiltai, protezavimas ant implantų), atkuriama ne tik šypsena, bet ir kramtymo funkcija, taisyklingas sąkandžio aukštis.
Protezavimas
Nuo pavienių keraminių vainikėlių ant natūralių dantų iki protezavimo ant implantų. Gyd. Jolita ypač daug dėmesio skiria natūraliems dantų atspalviams, anatomijai ir ilgaamžiškumui.
Skaitmeninis šypsenos dizainas
Modernus estetinės odontologijos planavimo metodas, leidžiantis dar prieš gydymą „pasimatuoti“, kaip atrodys galutinis rezultatas. Tai užtikrina bendrą viziją tarp paciento, gydytojo ir dantų technikų, kad atnaujintos šypsenos rezultatas neabejotinai džiugintų.
Mokymai kitiems gydytojams
Gyd. Jolita Ruginienė ne tik praktikuoja, bet ir veda estetinės odontologijos kursus kitiems gydytojams Lietuvoje. Tai patvirtina jos kompetenciją ir pasitikėjimą iš odontologų bendruomenės.
Ko tikėtis iš konsultacijos?
Pirmoji konsultacija – tai ne įsipareigojimas, o galimybė. Susitikimo metu gyd. od. Jolita Ruginienė įvertins Jūsų dantų estetiką, sąkandį, burnos būklę ir išklausys Jūsų lūkesčius bei svajonių šypsenos viziją.
- Aptariami Jūsų norai ir galimi estetinio gydymo būdai.
- Atliekama klinikinė apžiūra ir esamos būklės analizė.
- Prireikus daromi rentgeno tyrimai ar nuotraukos.
- Aptariamas galimas gydymo planas, trukmė, investicija.
Pasitelkiant skaitmenines nuotraukas, sukuriamas Jūsų šypsenos modelis, padedantis vizualiai įsivaizduoti, kaip atrodytų būsimas rezultatas. Tai leidžia geriau suprasti galimybes ir drąsiau priimti sprendimus.
Svarbiausia – konsultacija vyksta ramioje, pagarba pagrįstoje aplinkoje, kurioje turėsite galimybę užduoti visus rūpimus klausimus ir priimti sprendimą be spaudimo.
Registracija telefonu
REZERVUOKITE VIZITĄ
Pirmasis žingsnis pokyčių link
Jei svajojate apie nepriekaištingą šypseną – pradėkite nuo konsultacijos su gyd. odontologe Jolita Ruginiene. Kartu aptarsite, kuris gydymo kelias geriausiai atitiktų Jūsų lūkesčius ir natūralią šypsenos estetiką.

